새벽 폭풍우를 뚫고 달려온 남편과 함께 병원 진료를 다녀왔다. 오늘 특히 중요한 결정을 많이 내려야 했는데, 마침 남편이 동행해서 너무 다행이라 생각했다. 마음이 이리도 든든하다니..
31주 6일차 병원행부터는 진료때 마다 소변검사를 하고 있다. 이번에 깜빡하고 진료 전에 화장실에 들렀다가, 소변이 부족해 당황했다. 하하. 소변 이슈로 잠못 드는 밤을 보내는 와중에, 소변검사 만큼은 정말 자신있다고 생각했던 와중에, 이런 실수를 저지르다니.. 더군다나 추가 검사가 있어서 소변검사를 두 번이나 해야 했다.

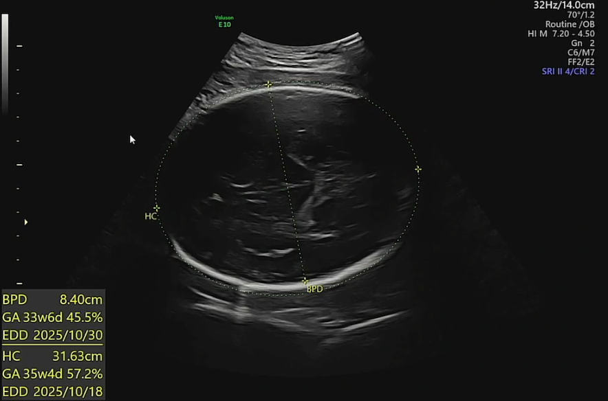
3주 씩이나 앞서 크던 머리는 이제 좀 안정을 찾아간다. 31주까지는 왕-왕-하고 커지더니, 출산 위치로 자세를 돌리고서는 머리가 골반에 꼭 껴 있는지 머리둘레의 성장이 더뎌졌고(다행스런 일), 목도리처럼 두르고 있던 탯줄도 풀렸다.

측정지표 해석
- BPD (Biparietal Diameter, 머리 양쪽 지름): 8.40 cm → 33주 6일 크기, 45.5 percentile
- HC (Head Circumference, 머리둘레): 31.63 cm → 35주 4일 크기, 57.2 percentile
- AC (Abdominal Circumference, 복부둘레): 30.21 cm → 34주 1일 크기, 62.9 percentile
- FL (Femur Length, 대퇴골 길이): 6.79 cm → 34주 6일 크기, 68.0 percentile
- HL (Humerus Length, 상완골 길이): 6.11 cm → 35주 2일 크기, 91.8 percentile
- HL (다른 컷에서): 6.52 cm → 37주 6일 크기, >99 percentile
- EFW (Estimated Fetal Weight, 추정 태아 체중): 약 2440g (±356g) → 34주 2일 기준, 61.8 percentile
- FHR (Fetal Heart Rate, 태아 심박수): 158 bpm → 정상 범위 (120~160 bpm)
- MVP (Maximum Vertical Pocket, 양수 최대 수직 주머니): 5.35 cm → 정상 범위 (2~8 cm)

이번에도 일부의 우려는 내려놓고, 일부의 걱정을 띄운다. 목에 감았던 탯줄이 풀리고 머리통의 성장이 더뎌진 것이 한시름 놓이면서, 상완골(팔) 길이가 유달리 긴 것이 요상한 일로 떠올랐다. ㅎㅎ 초음파의 한계일 수도 있고.. 머리, 팔, 다리, 몸통이 제각각 경주를 하듯이 들쑥들쑥 자라는 중일 수도 있겠지. 유전적 요인인가 싶어 남편 바라봤는데, 그 순간 '팔도 길다'는 의사 선생님 말이 기분이 좋았는지, 나를 보며 윙크하고 있는 남편을 발견했다ㅋㅋㅋㅋㅋㅋㅋ♥
수치가 변화하는 것을 보아하니 아기의 뱃속 성장이 거의 막바지에 다다랐다는 느낌이 든다. 기대했던대로 진료상담 중에 분만 방법을 논의하게 되었고, 초음파 후 속 골반의 각도를 재보는 것으로 권장되는 수술방법이.. 사실상 결정되었다. 속 골반의 각도가 102도 정도는 나와줘야 자연분만이 가능하다고 하는데, 내 골반은 매우 내성적 체형으로 70도 정도 밖에 되지 않아 수술이 권장되었다. 많은 분들의 사례를 통해 자연분만에 대한 고집이 여러 사람을 힘들게 할 수 있다는 것을 알게 되었음으로, 운명이라 여기고 그 자리에서 수술 날짜를 잡았다.
분만 예정일에서 열흘 앞당겨 아기를 만날 수 있게 되었다.
상상은 현실이 되어, 가족들이 모두 여행을 떠나고 없을 때 출산부터 퇴원까지의 과정을 온전히 겪게 되었다. 인근에 사는 사촌언니에게 백일해를 맞아둘 것을 부탁하고, 언니의 소중한 휴가를 나와 조카를 위해 써주기를 부탁했다..ㅎㅎ 벌써부터 흥미진진하구만.
주수별 태아 심장박동(BPM)
태아의 심장은 임신 5~6주 차에 처음 뛰기 시작하며, 이후 빠르게 증가한다. 일반적으로 심박수는 임신 초기에는 빠르게 상승하다가 중반 이후 일정한 패턴을 유지한다.
| 임신 주수 | 평균 심박수(BPM) | 꼬북이 심박수* |
| 5~6주 | 90~110 BPM | 120~123 BPM(6주 1일) |
| 7~8주 | 120~150 BPM | 156 BPM(7주 3일) 172 BPM(8주 2일) |
| 9~10주 | 140~170 BPM | - |
| 11~12주 | 150~175 BPM | 깜빡했다(12주 2일) |
| 13~14주 | 140~160 BPM | - |
| 15~20주 | 130~150 BPM | 159 BPM(16주 4일) |
| 21~30주 | 120~150 BPM | 154 BPM(21주 1일) 151 BPM(24주 6일) 151 BPM(28주 1일) |
| 31~40주 | 110~150 BPM | 153 bpm(31주 6일) 158 bpm(33주 6일) |
주수별 태아 크기(CRL & 체중)
태아는 임신 초기에는 CRL(머리부터 엉덩이까지 길이)로 측정되며, 2분기부터는 체중까지 함께 확인한다.
| 임신 주수 | 태아 길이(CRL) | 꼬북이 길이* | 태아 체중 | 꼬북이 체중* |
| 5주 | 1~2 ㎜ | - | N/A | N/A |
| 6주 | 4~6 ㎜ | (6주 1일) 5.3 ㎜ | N/A | N/A |
| 7주 | 10~13 ㎜ | (7주 3일) 12.6 ㎜ | N/A | N/A |
| 8주 | 16~22 ㎜ | (8주 2일) 19.5 ㎜ | N/A | N/A |
| 9주 | 23~31 ㎜ | - | N/A | N/A |
| 10주 | 32~41 ㎜ | - | N/A | N/A |
| 11주 | 44~58 ㎜ | - | 7 g | - |
| 12주 | 60~70 ㎜ | (12주 2일) 67.9 ㎜ | 14 g | - |
| 13주 | 75~90 ㎜ | - | 23 g | - |
| 14주 | 90~110 ㎜ | - | 43 g | - |
| 16주 | 110~120 ㎜ | 100 g | (16주 4일) 170g | |
| 18주 | 13~14 ㎝ | - | 190 g | - |
| 20주 | 16~25 ㎝ | - | 300 g | (21주 1일) 448g |
| 24주 | 30~32 ㎝ | (FL/4.72) 33.04cm | 600 g | (24주 6일) 814g |
| 28주 | 35~38 ㎝ | (FL/5.53) 38.71cm (FL/5.33) 37.31cm ? | 1.1 ㎏ | (28주 1일) 1.258kg (30주 1일) 1.558kg |
| 32주 | 40~42 ㎝ | (FL/6.51) 45.57cm (FL/6.79) 47.53cm | 1.7 ㎏ | (31주 6일) 2.269kg (33주 6일) 2.440kg |
| 36주 | 46~48 ㎝ | - | 2.6 ㎏ | - |
| 40주 | 50 ㎝ 이상 | - | 3~3.5 ㎏ | - |
- 임신 33주 6일(2025-09-17)
- 열두번째 진료(경희의료원) 진료비 214,000원
- X-ray, 채혈, 소변검사, 심전도 검사
'생각 상자 > 일상 기록' 카테고리의 다른 글
| 임신 37주 5일 출산 전 마지막 진료 + 2차 태동검사 + 출산가방 list (0) | 2025.10.13 |
|---|---|
| 임신 35주 6일 태동검사와 자궁수축 (0) | 2025.10.01 |
| 임신 31주 6일 동네 진료병원에서 대학 분만병원으로 (1) | 2025.09.03 |
| 임신 30주 1일 백일해 접종 (2) | 2025.08.23 |
| 임신 28주 1일 저체중 임산부 (6) | 2025.08.10 |