가까운 동네 병원에서 30주까지 진료를 보고, 출산을 준비할 때가 되어 32주차에 원장님이 소개해주신 분만병원으로 첫 진료를 받으러 갔다.
"대학 병원에서 출산을 하시기로 한 이유가 있나요?"
"전 산부인과 원장님의 추천이 있기도 했고, 아가사랑센터에서 교수님의 특강을 잘 들었습니다^_^♥"
신기하고 반가운 인연이다. 정든 병원 뒤로 하고 새 병원에서 다시 시작해야 하지만 왠지 안심이 된다.

아기는 잘 크고 있다. 특히 머리가.. 잘 크고 있는데, 임신주수 보다 3주 정도 앞선다고 하니까 너무 큰가 싶다. 머리가 너무 커도 출산할 때 힘들다고 하던데, 남편 머리통을 다시 들여다보게 된다. 이렇게 제왕절개로 가나요? 불행인지 다행인지, 머리만 큰 것은 아니라 몸통도 임신주수 대비 열흘 정도 크단다.
이러한 결과로 가장 무서운 것은 초음파 측정치 기준으로 볼 때, 예정일이 2주 정도 앞당겨 질 수 있다는 것이다. 얼마전 밤새 나를 공포로 몰아넣었던 그 상상... 출산할 때 아무도 없는 그 상상이 현실이 될 수 있다. 그쯔음 가족들은 해외여행 중이고, 남편은 지방에 있다. 보호자 동의없이 수술방에 들어갈 수 있나 모르겠다.

30주 이후에나 볼 수 있는 뇌와 심장의 문제가 따로 있단다. 소뇌의 크기라던지, 뇌간의 거리라던지.. 자세히는 모르겠지만 다 무사히 정상 판정을 받았다. 초기에 고민거리였던 양수양도 늘었다. 충분하다 못해 양수가 많으면 나중에 임신성 당뇨가 올 수 있어서 관리가 필요하다고 하셨다. 임신 전에는 단 음식이라면 질색을 했었는데, 임신 후에는 과일이나 초콜렛이 그렇게 맛이 있을수가 없었다..
일부는 걱정을 내려놓고, 일부는 걱정이 떠오른다. 매번 진료때마다 그렇게 유념할 거리가 생긴다. 고양이 자세가 효과를 봤는지, 용케도 역아였던 아기는 출산을 위한 위치를 찾았다(자세가 돌았다). 그리고 오늘 초음파를 통해 탯줄이 목에 두 번 감겨있다는 걸 알았다..

너무 무서운 얘기 같은데, 교수님이 아무렇지 않게 얘기하셔서 출산까지 좀 더 지켜봐야 할 것 같다. 코로 호흡하지 않아서 그런가, 목이 감겨 있는데 정말 괜찮은건가 ㅎㅎ 이렇게 또 제왕절개에 가까워지나? 주변에 출산하는 산모들을 봐도 수술방식은 산모의 선택이 아니다. 모든건 아기와 전문가의 판단에 달려있다.


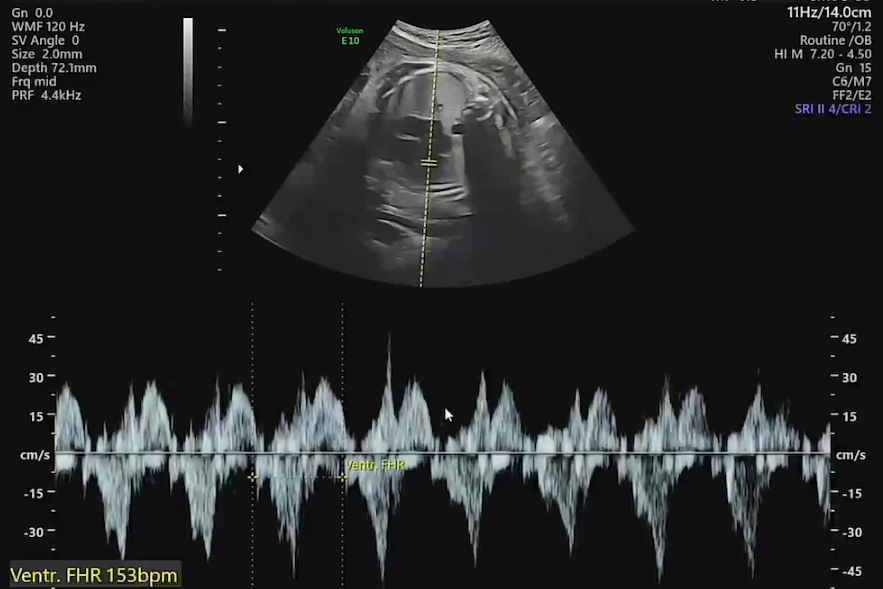
심장도 방방 잘 뛴다(153bpm). 추정체중은 약 2.2kg 정도.
성장곡선을 볼 때, 정상에서 좀 웃돈다. 좀만 더 오버하면 거대아가 탄생할 가능성도 있다. 당분 섭취 줄이고 식후 10분 걷기 운동하자!! 마침 어제부터 아가사랑센터에서 제공하는 임산부 요가수업을 시작했다. 근막을 분리하듯, 모든 걱정을 차분히 분리해나가자..

대기실에서 엄마랑 대기중에 10년 전에 갑상선에 혹이 있다고 초진을 받고 이후로 조치하지 않았다고, 내가 성질이 더러운게 아니고 갑상선 때문에 예민한거라 쫑알거렸는데 그 얘기를 들으신걸까(-_-). 마침 혈액검사를 통해 철분과 갑상선 검사를 하자고 하셨다. 교수님들의 귀는 벽에 달렸다는 게 진실인가..
이번에도 민망해서 출산 전에 왁싱해야 되는지 물어보지 못했는데, 모르는 척 하고 대기실에서 떠들어볼까..

초음파 통합 결과 (GA 32주 0일 기준)
1. 주요 지표
BPD (머리 양쪽 지름) : 8.29 cm → GA 33주 2일 (82.5%)
HC (머리 둘레) : 31.53 cm → GA 35주 3일 (94.0%)
AC (복부 둘레) : 29.70 cm → GA 33주 5일 (91.5%)
FL (대퇴골 길이) : 6.51 cm → GA 33주 4일 (81.4%)
EFW (추정체중) : 2269 g → GA 33주 3일 (91.2%)
2. 출산 예정일 (EDD)
원래 기준 예정일 (LMP 기반): 2025/10/29
초음파 추정치 기준: 2025/10/05 ~ 10/20
→ 아기가 평균보다 커서, 예정일이 약 1~3주 당겨져 보임. → 실제 분만일과 반드시 일치하지는 않음.
3. 성장 패턴 해석
모든 지표(BPD, HC, AC, FL)가 32주 0일 기준 실제 주수보다 1.5~3주 앞서 있음.
백분위수는 81~94% 범위 → 또래 아기 중 상위 10~20% 내외로 큰 편.
머리·복부·다리 모두 균형 있게 성장하여 특정 부위만 과도하게 크거나 작은 소견 없음.
체중(2269 g) 역시 평균(약 1800~1900 g)보다 크며 건강한 성장 곡선 상위권에 위치.
✅ 종합 진단 (32주 0일 기준)
태아는 정상 범위 내에서 크고 건강하게 발달 중. 성장 속도가 빠른 편이라 예정일이 앞당겨 보이나, 이는 주로 태아의 체격 차이로 인한 변동. 현재까지는 체형 불균형이나 발육 지연의 소견 없음. 추후 정기검진에서 체중 증가 추이, 양수량, 태반 혈류 등을 꾸준히 확인.
주수별 태아 심장박동(BPM)
태아의 심장은 임신 5~6주 차에 처음 뛰기 시작하며, 이후 빠르게 증가한다. 일반적으로 심박수는 임신 초기에는 빠르게 상승하다가 중반 이후 일정한 패턴을 유지한다.
| 임신 주수 | 평균 심박수(BPM) | 꼬북이 심박수* |
| 5~6주 | 90~110 BPM | 120~123 BPM(6주 1일) |
| 7~8주 | 120~150 BPM | 156 BPM(7주 3일) 172 BPM(8주 2일) |
| 9~10주 | 140~170 BPM | - |
| 11~12주 | 150~175 BPM | 깜빡했다(12주 2일) |
| 13~14주 | 140~160 BPM | - |
| 15~20주 | 130~150 BPM | 159 BPM(16주 4일) |
| 21~30주 | 120~150 BPM | 154 BPM(21주 1일) 151 BPM(24주 6일) 151 BPM(28주 1일) |
| 31~40주 | 110~150 BPM | 153 bpm(31주 6일) |
주수별 태아 크기(CRL & 체중)
태아는 임신 초기에는 CRL(머리부터 엉덩이까지 길이)로 측정되며, 2분기부터는 체중까지 함께 확인한다.
| 임신 주수 | 태아 길이(CRL) | 꼬북이 길이* | 태아 체중 | 꼬북이 체중* |
| 5주 | 1~2 ㎜ | - | N/A | N/A |
| 6주 | 4~6 ㎜ | (6주 1일) 5.3 ㎜ | N/A | N/A |
| 7주 | 10~13 ㎜ | (7주 3일) 12.6 ㎜ | N/A | N/A |
| 8주 | 16~22 ㎜ | (8주 2일) 19.5 ㎜ | N/A | N/A |
| 9주 | 23~31 ㎜ | - | N/A | N/A |
| 10주 | 32~41 ㎜ | - | N/A | N/A |
| 11주 | 44~58 ㎜ | - | 7 g | - |
| 12주 | 60~70 ㎜ | (12주 2일) 67.9 ㎜ | 14 g | - |
| 13주 | 75~90 ㎜ | - | 23 g | - |
| 14주 | 90~110 ㎜ | - | 43 g | - |
| 16주 | 110~120 ㎜ | 100 g | (16주 4일) 170g | |
| 18주 | 13~14 ㎝ | - | 190 g | - |
| 20주 | 16~25 ㎝ | - | 300 g | (21주 1일) 448g |
| 24주 | 30~32 ㎝ | (FL/4.72) 33.04cm | 600 g | (24주 6일) 814g |
| 28주 | 35~38 ㎝ | (FL/5.53) 38.71cm (FL/5.33) 37.31cm ? |
1.1 ㎏ | (28주 1일) 1.258kg (30주 1일) 1.558kg |
| 32주 | 40~42 ㎝ | (FL/6.51) 45.57cm | 1.7 ㎏ | (31주 6일) 2.269kg |
| 36주 | 46~48 ㎝ | - | 2.6 ㎏ | - |
| 40주 | 50 ㎝ 이상 | - | 3~3.5 ㎏ | - |
- 임신 31주 6일(2025-09-03)
- 열한번째 진료(경희의료원) 진료비 25,900 + 혈액검사 150,560 + 34주차 선수납 21,200
'생각 상자 > 일상 기록' 카테고리의 다른 글
| 임신 35주 6일 태동검사와 자궁수축 (0) | 2025.10.01 |
|---|---|
| 임신 33주 6일 속 골반 각도 재고 수술방법 결정! (1) | 2025.09.17 |
| 임신 30주 1일 백일해 접종 (2) | 2025.08.23 |
| 임신 28주 1일 저체중 임산부 (6) | 2025.08.10 |
| 임신 24주 6일 갑작스런 병원 진료 (3) | 2025.07.17 |